Нижегородские врачи пришили руку подростку
6 марта 2023 г. 8:40 |
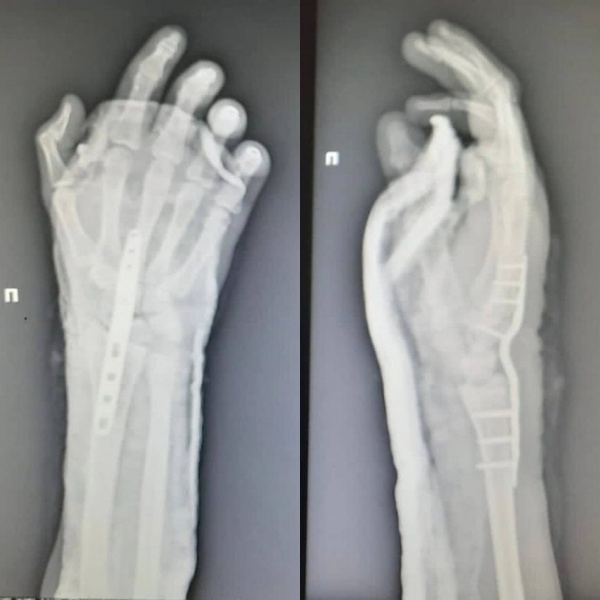
Нижегородские врачи помогли подростку, который отрубил себе кисть руки при колке дров.
Медики провели 16-летнему пациенту операцию по реимплантации конечности. Сейчас его состояние стабильно, кровоснабжение кисти восстановлено. Парню понадобится еще несколько операций, чтобы восстановить функциональность кисти.








alex_f